本篇文章给各位网友带来的资讯是:按摩加快肌肉修复有科学依据了,哈佛大学研究成果登 Science 子刊 详情请欣赏下文
在办公室坐一天,下班按按腰,舒服~
周末去爬山,爬得脚发软,回来按按腿,舒服~
舒服舒服,按摩这么舒服,除了能给心理上带来享受,真的有效果吗?
来自哈佛大学等机构的科学家们研究了一下,结果发现:按摩确实能对肌肉起到修复再生的作用,让你肌纤维变粗、肌肉弹性更强!

▲ 成果发表在 Science 子刊
给小鼠按摩,然后做肌肉病理检测
方法就是通过病理检测,对小鼠的损伤肌肉进行有规律的按摩后,与同样损伤但没有按摩的小鼠肌肉进行对比,看看肌肉到底有什么变化。
那怎么让小鼠肌肉损伤呢?
让它们围着笼子跑上一天?
当然是通过模拟完成:
给小鼠小腿(胫骨前肌)注射肌肉毒素,也就是咱们运动后肌肉产生并堆积的大量乳酸等酸性物质,6 天之后再用手术结扎血管的方式给予小鼠缺血再灌注损伤。
这样也好保证所有小鼠的肌肉损伤程度一致。
接下来,该怎么给小鼠按摩呢?
答案是靠这套量身定制的自动按摩仪。

它可不简单:具备调节和量化按摩力度大小的能力,由电磁驱动器(上图 i)、硅胶传感器(ii)和固定小鼠的支架(iv)等组成。
接着,随机选取一组小鼠,打好麻醉就可以按了,就像这样:

(当然,对照组的小鼠也是暴露在同等麻醉剂下的。)
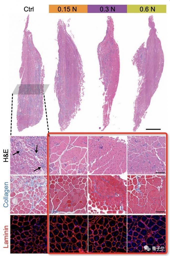
按摩分三个力度:0.15 N、0.3 N 和 0.6 N,每天按摩两次,每次 5 分钟,2 周后取受损肌肉进行病理或功能检测。

见证结果的时刻到了:

从最右边三组也就是按摩过的肌肉纤维横截面可以看出,它们明显比最左边那组没有按摩过的肌肉纤维要粗(粗代表不纤维化)。
科学家们再测量了两组肌肉纤维化占比图发现,按摩后的小鼠肌肉纤维化程度确实显著降低:

受损伤的肌肉纤维也变少了:

再用电刺激肌肉收缩,按摩后的肌肉弹性也更强:

可以修复,但为什么?
按摩帮助恢复肌肉的事实已经证明了,科学家们还想搞清楚背后真正的原因。
他们又分别检测了两组小鼠肌肉蛋白中的细胞因子和趋化因子的水平。
结果发现,经过按摩后的肌肉里的中性粒细胞 (neutrophils)大大减少了。
经过进一步实验发现,中性粒细胞分泌的因子虽有助于刺激肌肉祖细胞增殖,但却会阻碍祖细胞向成熟肌细胞分化,也就是让肌肉纤维重“质”不重“量”。
而按摩的过程把这些因子“挤”出去了,也就能让肌肉恢复有质量的生长了。
另外,由于中性粒细胞含量的下降在肌肉按摩的第 3 天表现得最明显,在第 7、14 天基本不再有变化:

由此也就得出这样一个结论 —— 要获得最佳的肌肉修复效果,可能最好是在肌肉损伤后的第三天进行按摩。

接下来,科学家们还将在大型动物上进行类似实验。
论文地址:
https://www.science.org/doi/10.1126/scitranslmed.abe8868
1、IT大王遵守相关法律法规,由于本站资源全部来源于网络程序/投稿,故资源量太大无法一一准确核实资源侵权的真实性;
2、出于传递信息之目的,故IT大王可能会误刊发损害或影响您的合法权益,请您积极与我们联系处理(所有内容不代表本站观点与立场);
3、因时间、精力有限,我们无法一一核实每一条消息的真实性,但我们会在发布之前尽最大努力来核实这些信息;
4、无论出于何种目的要求本站删除内容,您均需要提供根据国家版权局发布的示范格式
《要求删除或断开链接侵权网络内容的通知》:https://itdw.cn/ziliao/sfgs.pdf,
国家知识产权局《要求删除或断开链接侵权网络内容的通知》填写说明: http://www.ncac.gov.cn/chinacopyright/contents/12227/342400.shtml
未按照国家知识产权局格式通知一律不予处理;请按照此通知格式填写发至本站的邮箱 wl6@163.com